您的位置: 依品网 > 优惠 > 南昌虹桥口腔放大招!爱尔创全瓷牙原价1600现在仅需975起,速来抢购!
发布时间:2025-10-15 14:12:09
阅读:
在日常生活中,牙齿的健康与美观对于每个人来说都至关重要。拥有一口整齐洁白的牙齿,不仅能提升个人的形象魅力,还能让我们在社交和生活中更加自信。然而,由于各种原因,特别多人的牙齿会出现不同程度的问题,如牙齿缺失、损坏等,这时候就需要进行牙齿修复。而全瓷牙作为一种较为理想的牙齿修复方式,受到了越来越多人的关注。今天,我们要为大家带来南昌虹桥口腔的一项重磅优惠活动,爱尔创全瓷牙原价1600元,现在只需975元,如此大的优惠力度,千万不要错过!
南昌虹桥口腔是一家专精的口腔医疗机构,多年来一直致力于为广大患者提供优质、效率高、安心的口腔诊疗服务。医院拥有一支技术不错、经验多的口腔医疗团队,他们都经过了严格的专精培训和考核,具备扎实的理论基础和丰富的临床经验,能够为患者提供个性化的口腔治疗方案。
医院引进了国内外精良的口腔诊疗设备,如数字化口腔全景机、口腔CT、激光治疗仪等,这些设备能够为医生提供正确的诊断依据,提高治疗成效和效率。同时,医院还采用了精良的口腔消毒技术,严格遵守一人一用一消毒的原则,确保患者在治疗过程中的安心和卫生。
南昌虹桥口腔始终坚持以患者为中 心的服务理念,注重患者的体验和感受。医院环境舒适优雅,服务周到细致,为患者营造了一个温馨、舒适的就诊环境。无论是在诊疗过程中还是在诊疗后,医院的医护人员都会为患者提供全方面的服务和指导,让患者感受到家一般的温暖。
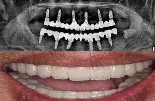
爱尔创全瓷牙是一种高品质的牙齿修复材料,它采用了精良的全瓷技术,具有美观、耐用、生物相容性好等优点。与传统的金属烤瓷牙相比,爱尔创全瓷牙不含金属成分,不会对牙龈造成刺激和过敏反应,能够更好地保护口腔健康。
在美观方面,爱尔创全瓷牙的颜色和透明度与天然牙齿非常接近,几乎可以达到以假乱真的成效。它能够根据患者的牙齿颜色和形态进行个性化定制,使修复后的牙齿与周围的牙齿更加协调自然,提升整体的美观度。
在耐用性方面,爱尔创全瓷牙具有较高的强度和硬度,能够承受较大的咀嚼压力,不易破裂和磨损。它的使用寿命较长,一般可以达到10年以上,为患者提供了长期的牙齿修复保护。
此外,爱尔创全瓷牙还具有良好的生物相容性,不会对人体产生任何不良影响。它能够与口腔组织良好地融合,减少了牙龈炎症和牙周疾病的发生风险,为患者的口腔健康提供了有力的保护。
本次南昌虹桥口腔推出的爱尔创全瓷牙优惠活动,力度空前。原价1600元的爱尔创全瓷牙,现在只需975元,相当于打了6折左右。这对于那些需要进行牙齿修复的患者来说,无疑是一个巨大的福音。
除了价格上的优惠,医院还为参与活动的患者提供了一系列的增值服务。在治疗前,医院会为患者进行全方面的口腔检查,包括口腔全景片拍摄、口腔CT检查等,以便医生正确了解患者的牙齿情况,制定出更适合患者的治疗方案。
在治疗过程中,医院的专精医生会采用精良的技术和设备,为患者进行精细的牙齿修复。同时,医院还会为患者提供一对一的专属服务,让患者在治疗过程中感受到贴心的关怀和照顾。
治疗后,医院会为患者提供详细的口腔护理指导,包括正确的刷牙方法、使用牙线的技巧等,帮助患者更好地维护口腔健康。此外,医院还会为患者建立口腔健康档案,定期进行回访和跟踪,确保患者的牙齿修复成效长期稳定。
本次爱尔创全瓷牙优惠活动适用于广大有牙齿修复需求的人群。具体包括以下几类人群:
1. 牙齿缺失患者:由于各种原因导致牙齿缺失的患者,如外伤、龋齿、牙周病等,可以通过安装爱尔创全瓷牙来修复牙齿的形态和功能。
2. 牙齿损坏患者:牙齿出现裂纹、折断、磨损等情况的患者,也可以选择爱尔创全瓷牙进行修复,使牙齿修复到正常的状态。
3. 牙齿变色患者:长期饮用咖啡、茶、红酒等深色饮料,或者吸烟等原因导致牙齿变色的患者,爱尔创全瓷牙可以帮助他们改善牙齿的颜色,让牙齿变得更加洁白美观。
4. 对牙齿美观有较高要求的人群:一些对自身形象和牙齿美观有较高要求的人群,如演员、模特、教师等,爱尔创全瓷牙能够满足他们对牙齿美观的需求,提升个人的形象魅力。
在参与本次优惠活动时,患者需要注意以下几点:
1. 活动时间:本次爱尔创全瓷牙优惠活动有一定的时间限制,患者需要在活动期间内进行预约和治疗。具体的活动时间可以询问www82ip.com在线客服。
2. 预约名额:由于优惠活动的名额有限,患者需要提前进行预约,以免错过机会。建议患者在确定有牙齿修复需求后,尽快进行预约挂号。
3. 就诊准备:患者在就诊前需要做好相应的准备工作,如保持口腔清洁、携带身份证等相关证件。同时,患者可以提前了解一些关于爱尔创全瓷牙的相关知识,以便在就诊时能够与医生更好地沟通。
4. 治疗过程:在治疗过程中,患者需要积极配合医生的操作,按照医生的要求进行治疗。如果在治疗过程中出现任何不适或疑问,应及时向医生反映。
5. 术后护理:治疗后,患者需要严格按照医生的嘱咐进行术后护理,如注意口腔卫生、避免食用实力强过黏的食物等。同时,患者需要定期到医院进行复查,以便医生及时了解牙齿的修复情况。
南昌虹桥口腔本次推出的爱尔创全瓷牙优惠活动,为广大有牙齿修复需求的患者提供了一个难得的机会。优惠的价格、优质的服务和精良的技术,能够让患者以较低的成本获得高品质的牙齿修复成效。如果您正在为牙齿问题而烦恼,不妨抓住这次机会,前往南昌虹桥口腔进行询问和治疗。相信在南昌虹桥口腔专精医生的帮助下,您一定能够拥有一口健康、美观的牙齿。
再次提醒大家,本次活动名额有限,时间有限,先到先得。如果您对本次活动还有任何疑问,可以随时拨打南昌虹桥口腔的法定电话进行询问,或者通过www.82ip.com在线客服私信预约,让我们一起为您的口腔健康保驾护航!
优惠
东阳市狐狸口腔门诊部(数字化矫正·种植中心)补牙收费现优惠,仅需600元起!原价800元起。
2025-09-21 00:27:02
无锡牙牙乐口腔门诊推出牙齿美白优惠活动,现仅需1380元起,助您轻松拥有迷人笑容!原价1880元起。
2025-09-22 01:31:01
杭州博凡口腔门诊部现推出拔牙优惠活动,预约仅需600元起,原价800元起,让您的口腔护理更加经济实惠!
2025-09-26 01:29:01
成都青橙口腔门诊部口腔预防保健现优惠价仅需380元起,原价580元起,优惠力度大,健康时刻相伴!
2025-09-29 01:33:01
优惠!仅需688元起,享受北京品格口腔(宋家庄店)专業口腔颌面外科服务,原价888元起!
2025-10-05 00:27:01
深圳正夫口腔(南山中洲总院)牙周病治疗现仅需1980元起,原价2980元起,助您轻松拥有健康美丽的牙齿!
2025-10-11 01:34:02
美容