您的位置: 依品网 > 项目 > 义乌德维口腔金属基托义齿价格2500元起,佩戴舒适稳固,助您重拾完美咀嚼体验!
发布时间:2025-10-14 16:16:02
阅读:
在义乌,牙齿缺失问题困扰着不少人,而寻找一款合适的义齿来修复咀嚼功能和美观显得尤为重要。今天我们就来详细了解一下义乌德维口腔的金属基托义齿,看看它能为牙齿缺失患者带来怎样的帮助。
义乌德维口腔医院成立于2019年,是一家连锁品牌口腔医院。它以1800平的超大规模在义乌口腔治疗市场中占据了一席之地。医院不仅技术实力强,医生团队也十分靠谱,为患者提供了专精的口腔医疗服务。
走进义乌德维口腔,就能感受到它为患者营造的舒适和温馨的就诊环境。诊所内装修简约时尚,氛围和谐宜人,让患者在看牙的过程中不会感到过于紧张和压抑。其地理位置也十分优越,位于浙江省义乌市江东街道黎明湖路518号A座1楼圆弧大厅2楼,有多路公交可以到达,比如涉及九联工业区的392B路、572路等,就诊十分便利。
义乌德维口腔的收费价格在市场上具有一定的竞争力,且价格透明无捆绑。官网及院内都会公示价目表,基础项目还支持分阶段付费,不存在隐形消费的情况。
在种植牙方面,2025年国产百康特种植体1580元起/颗,韩国奥齿泰种植体2880 - 3980元/颗,瑞士ITI种植系统8800 - 12800元/颗,半口种植套餐5万元起。
牙齿矫正项目中,2025年金属托槽矫正6999 - 12800元/全程,时代天使隐形矫正16800 - 22000元/全程,隐适美全隐形矫正30000元起/全程。
全瓷牙冠方面,2025年二氧化锆全瓷冠1880 - 3300元/颗。根管治疗980元起/颗。
常规诊疗中,2025年3M树脂补牙188元起/颗,深度洁牙抛光300元起/次,智齿拔除术380 - 1500元/颗。
牙齿美容项目,2025年冷光美白1000元起/次,瓷贴面修复1000元起/颗。
儿童牙科方面,2025年乳牙树脂补牙180元起/颗,全口涂氟防龋100元起/次,乳牙早失间隙维持器600元起。
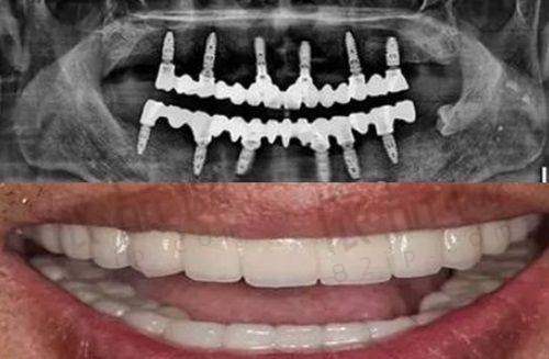
而活动义齿现仅需2500元。
其中,我们重点关注的金属基托义齿,价格也是2500元起。这个价格在市场上是比较合理的,能让更多的患者享受到优质的义齿服务。
金属基托义齿是一种常见的义齿类型,而义乌德维口腔的金属基托义齿更是具有诸多优势。
佩戴舒适稳固:这是金属基托义齿较大的优势之一。金属基托的强度较高,能够更好地分散咬合力,使义齿在口腔内更加稳定。同时,它的厚度相对较薄,重量较轻,佩戴起来不会给患者带来过多的异物感,让患者能够更加舒适地咀嚼食物。
精细适配:义乌德维口腔凭借其精良的技术和专精的医生团队,在制作金属基托义齿时能够做到精细适配。医生会根据患者的口腔情况进行详细的检查和测量,然后利用精良的设备和技术制作出与患者口腔完全贴合的义齿。这种精细适配不仅能提高义齿的佩戴舒适度,还能增强义齿的稳定性和咀嚼功能。
美观耐用:虽然金属基托义齿主要以功能性为主,但在美观方面也不会逊色。医生会根据患者的口腔颜色和牙齿形态进行设计,使义齿在外观上更加自然。而且金属基托的材质具有较好的耐磨性和耐腐蚀性,能够确保义齿的使用寿命,让患者长期受益。
义乌德维口腔拥有一支专精靠谱的医生团队,他们在金属基托义齿的制作和佩戴过程中发挥着重要的作用。
医生们会在患者就诊时进行详细的口腔检查,了解患者的牙齿缺失情况、口腔健康状况以及患者的需求和期望。然后根据这些信息为患者制定个性化的金属基托义齿治疗方案。在制作义齿的过程中,医生会严格把控每一个环节,确保义齿的质量和适配度。
当患者佩戴义齿后,医生还会提供专精的指导和建议,告诉患者如何正确佩戴和保养义齿,以及在佩戴过程中可能会出现的问题和解决方法。定期的复诊也能让医生及时了解义齿的使用情况和患者口腔的变化,对义齿进行必要的调整和修复,以确保义齿的长期使用成效。
为了让大家更直观地了解义乌德维口腔金属基托义齿的成效,下面分享一个患者实例。
李先生是一位牙齿缺失多年的患者,之前佩戴过其他类型的义齿,但总是感觉佩戴不舒适,咀嚼功能也不理想。后来他来到了义乌德维口腔,医生为他进行了详细的检查后,建议他选择金属基托义齿。
在义齿制作过程中,医生与李先生保持密切沟通,根据他的反馈对义齿进行了多次调整。当李先生戴上新的金属基托义齿后,他明显感觉到义齿的稳定性和舒适度有了较大的提升。现在,李先生能够正常地咀嚼各种食物,生活质量得到了较大的改善。他对义乌德维口腔的金属基托义齿非常满意,也对医生的专精服务赞不绝口。
义乌德维口腔在口腔医疗领域有着丰富的经验和专精的技术,其金属基托义齿以2500元起的合理价格、佩戴舒适稳固的特点以及专精医生团队的保护,为牙齿缺失患者提供了一个优质的义齿解决方案。如果您正在为牙齿缺失问题而烦恼,不妨考虑一下义乌德维口腔的金属基托义齿,相信它会给您带来意想不到的成效。
优惠
商丘口腔医院(北京冠美商丘分院)洗牙原价298元起,现在仅需198元起,助您轻松拥有洁白牙齿!
2025-09-26 00:27:02
四平诺雅口腔医院口腔颌面外科推出优惠活动:原价899元起现仅需699元起,助您轻松实现健康与美丽的微笑!
2025-09-28 01:32:01
成都君臣口腔口腔预防保健服务现仅需198元起,原价298元起,超值优惠等你来体验!
2025-10-01 01:32:01
深圳弘和口腔门诊部推出口腔预防保健服务,原价800元起现仅需600元起,优惠活动限时进行,欢迎前来体验!
2025-10-12 01:41:02
广州盛康苑口腔门诊部补牙服务现推出限时优惠,原价800元起,现在仅需600元起!抓住这次难得的机会,享受杰出的牙科护理,立即预约!
2025-10-14 00:27:01
东莞爱芽口腔门诊部推出地包天治疗优惠活动,原价3000元起现仅需2500元起,助力您轻松摆脱口腔困扰,尽享健康自信的微笑!
2025-10-15 00:27:01
美容