您的位置: 依品网 > 资讯 > 哈尔滨美植口腔是呼悠人的吗?不是,从资质技术等多方面看它是正规牙科
申请优惠
发布时间:2025-08-22 17:55:07
阅读:
在当今社会,口腔健康越来越受到人们的重视,选择一家正规靠谱的口腔机构至关重要。然而,市面上口腔机构众多,让人眼花缭乱,特别多人在选择时会担心遇到不靠谱甚至忽悠人的机构。就拿哈尔滨美植口腔来说,不少人心中会有疑问:哈尔滨美植口腔是忽悠人的吗?答案是否定的,从多方面来看,它是一家正规的牙科机构。接下来,我们就从资质、技术与设备、医生团队、收费以及其他方面详细为大家分析。
首先,资质是判断一家口腔机构是否正规的重要依据。哈尔滨美植口腔是经哈尔滨市卫健委批准成立的正规口腔机构,其登记号为黑卫医证营字哈南第0309号。并且,该机构还在官网公开营业执照、医疗资质证书,患者可以通过卫健委官网进行查询验证。这充分说明它的成立是经过严格审核和监管的,具备合法开展口腔医疗服务的资格。
目前,哈尔滨美植口腔在哈尔滨开设了多家分院。值得一提的是,每家分院均通过卫生部门审核,其资质合法且信息公开透明。这不仅体现了该机构在扩张过程中的严谨态度,也为患者提供了更多的就医选择,无论居住在哈尔滨的哪个区域,都能较为方便地找到美植口腔的分院进行口腔治疗。
从具体的资质和执业许可来看,哈尔滨美植口腔省份为黑龙江省,审批机关是哈尔滨市南岗区卫生健康局,诊疗科目为口腔科。这明确了其业务范围和合法合规性,患者可以放心在这里接受口腔科相关的治疗。
此外,哈尔滨美植口腔是东北本土起家的二级连锁私立牙科机构。自2013年扎根哈尔滨以来,经过多年的发展,现在已经拥有20 + 直营分院。如此大规模的连锁经营,并且其资质全到可以在卫健委官网查到执业许可,足以证明它在行业内的规范性和稳定性。其门诊部也具备相关的医疗机构执业许可证,完全符合国内卫生部门的要求。
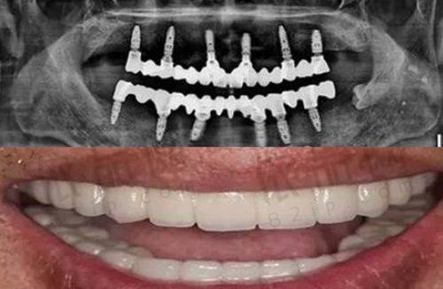
一家正规的口腔机构,精良的技术和设备是必不可少的。哈尔滨美植口腔以种植牙为核心优势,采用数字化种植技术。这种技术结合了3D口腔CT、全景摄影仪等精良设备,能够高精规划种植体的角度和深度。通过这些高新科技设备的辅助,医生可以更精细地了解患者口腔内部的情况,从而降低手术风险。在“即刻种植”“复杂种植”领域,哈尔滨美植口腔表现突出,众多患者反馈种植牙术后成效稳定,使用寿命较长。这说明该机构在种植牙技术方面有着较高的水平和丰富的经验。
除了种植牙,哈尔滨美植口腔还提供正畸、牙齿修复等全科服务,技术覆盖范围广。在正畸科,以数字化正畸技术为核心,配备了itero口扫仪、3D影像系统。这些设备可以快速生成个性化矫正方案,满足不同患者的需求。无论是儿童MRC肌功能矫正、青少年咬合诱导,还是成人隐适美隐形矫正等全年龄段的正畸需求,都能在这里得到专精的解决方案。
医生是口腔机构的核心力量,哈尔滨美植口腔汇聚了多位从业多年医生。例如种植牙医生于海、魏跃胜,正畸医生张旭、刘博等,他们均拥有丰富的临床经验。这些医生在口腔领域深耕多年,经手过大量的病例,对于各种口腔疾病和问题都有着深入的了解和独特的治疗方法。
而且,医生团队定期参与学术交流。在这个信息飞速发展的时代,口腔医学领域的新技术、新方法不断涌现。通过参与学术交流,医生们能够及时掌握国内外前端技术,并将其运用到实际的治疗中。同时,他们还会根据患者的具体需求制定个性化方案。在患者评价中,医生沟通耐心、操作细致,服务态度备受认可。这说明医生们不仅具备专精的技术,还非常注重与患者的沟通和服务体验。
收费问题也是患者非常关心的。哈尔滨美植口腔严格执行价格公示制度,让患者清楚地了解各项治疗的费用。在种植牙方面,单颗费用约4000元起,半口种植5万元起,具体费用会根据材料、手术复杂度而定。在治疗前,医生会详细说明收费项目,让患者做到心中有数。
部分项目还支持医疗保险报销,这为患者减轻了一定的经济负担。并且,该机构无附加费用,已有多份患者反馈证实,实际支出与预估一致,未出现乱收费现象。这体现了哈尔滨美植口腔在收费方面的合理性和透明度,让患者能够放心接受治疗。
综上所述,从资质、技术与设备、医生团队、收费以及其他方面来看,哈尔滨美植口腔都展现出了正规牙科的特质,绝不是忽悠人的机构。如果你正在为选择一家靠谱的口腔机构而烦恼,不妨考虑一下哈尔滨美植口腔。如果你对口腔治疗有任何疑问或者需要进一步了解相关信息,欢迎随时询问,让专精的医生为你解答。
优惠
武汉大众口腔(民院路门诊)烤瓷牙现仅需2500元起,原价3000元起,享受高品质服务,省钱更省心!
2025-10-02 01:37:01
大连拜博口腔医院(五一路门诊部)烤瓷牙价目表:原价3000元起,现仅需2500元起!别错过这个难得的优惠,开启您的健康与美丽之旅!
2025-10-04 01:28:01
武汉博华口腔门诊部超值牙周治疗现仅需199元起,原价300元起,优惠机会不容错过,快来体验吧!
2025-10-09 01:01:02
山西众植齿科医院推出牙齿矫正优惠活动,原价5000元起现仅需3500元起,机会难得,速来促销!
2025-10-15 01:04:01
曲靖德韩口腔一口价种好牙活动开启,韩国进口种植体仅需1999元起!
2025-10-15 15:39:02
曲靖舒尔口腔种植牙集采价低至1480元起,错过再等一年!
2025-10-15 15:45:02
美容