所属医院 :上海鼎植黎强口腔门诊部
医生职称 :院长
诊疗项目 :种植牙,单颗种植,多颗种植,半口种植,全口种植,穿颧种植,all-on-4种植牙,穿翼板种植牙技术,即刻种植牙,上颌窦提升术
发布时间:2025-10-23 17:11:03 阅读:
联系我们
申请优惠
评论
(已有 0 人点评)上海鼎植口腔黎强医生在口腔领域可谓是颇具影响力的人物。他是拜博口腔联合创办者,同时也是鼎植集团创办者、董事长兼总裁。这样的身份不仅体现了他在口腔行业的商业成就,更反映出他在行业内的领导地位和出色的管理能力。
黎强医生拥有丰富的学术背景。他拥有中欧国内外工商学院EMBA学位,这为他在企业管理和商业运营方面提供了坚实的理论基础。同时,他还获得了葡萄牙里斯本大学卫生管理博士学位,以及德国法兰克福歌德大学、美国加州大学洛杉矶分校种植硕士学位。如此多的高含金量学位,足以证明他在口腔专精知识和卫生管理方面的深入研究和学习。
黎强医生从事口腔临床工作近三十年,有着非常丰富的临床经验。早年他研修于广东省口腔医院及上海第九人民医院,这两所医院在口腔领域都是非常有名的,能在这样的医院进行研修,让他接触到了精良的口腔医疗技术和理念。而且他师从美国加州大学洛杉矶分校口腔种植中 心主事,在名师的指导下,他的种植技术得到了进一步的提升。
在行业内,黎强医生也有着特别高的声誉。他系IACD国内外当代牙医师协会院士,口腔文化专精委员会常务委员。这些头衔和身份表明他得到了国内外和国内口腔行业的认可,是一位值得信赖的口腔医生。

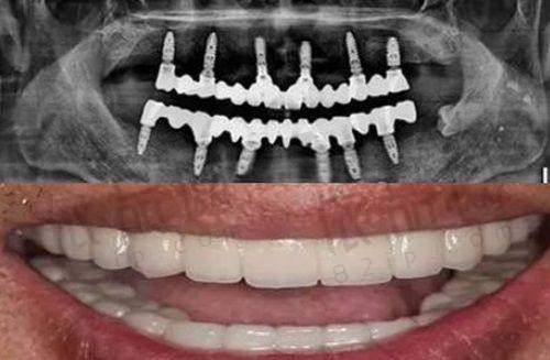
黎强医生专做种植牙和种植失败修复,尤其擅长高难度种植牙。像VIIV穿颧穿翼种植、即刻负重种植、局麻下改良颌外颧骨种植等,这些都是难度较高的种植技术,但他都能熟练掌握并运用。
无论是单颗种植牙、半口、全口种植牙或是穿颧穿翼等,黎强医生都比较擅长。对于不同的患者情况,他都能制定出合适的种植方案,满足患者的需求。比如有的患者可能只缺失了一颗牙齿,他可以精细地为患者进行单颗种植牙手术;而对于那些半口或全口牙齿缺失的患者,他也能通过精良的技术为患者修复牙齿功能。
他还善于将数字化导板导航技术与复杂种植病例相结合。这种结合使得种植手术更加精细和舒适,取得了相当好的成效。数字化导板导航技术就像是给手术加上了一个精细的“地图”,让医生能更正确地进行种植操作。

从学术方面来看,黎强医生的众多学位就是他资质的重要体现。中欧国内外工商学院EMBA学位、葡萄牙里斯本大学卫生管理博士学位、德国法兰克福歌德大学和美国加州大学洛杉矶分校种植硕士学位,这些学位涵盖了管理、卫生和口腔种植等多个领域,证明了他的综合能力。
在行业头衔上,他是IACD国内外当代牙医师协会院士,这是国内外上对他口腔专精能力的认可。口腔文化专精委员会常务委员的身份,也说明他在口腔文化和专精领域有着一定的地位和影响力。
近三十年的口腔临床工作经验也是他资质的重要组成部分。丰富的临床经验让他在面对各种复杂的口腔问题时都能游刃有余,为患者提供有效的治疗方案。

黎强医生特别擅长动态导航种植和导板种植。这两种技术的优势在于微创损伤小,在手术过程中能尽量减少对患者口腔组织的伤害,让患者术后修复更快。而且他对种植牙位置和层次的把控非常准,这就确保了种植的牙齿能够更好地与患者的口腔结构相匹配,提高种植牙的稳定性和使用寿命。
对于重度牙龈萎缩或不适合普通种植牙技术的人来说,黎强医生的技术是不错的选择。例如有位28岁的姑娘因车祸导致颌骨缺损,这种情况是比较复杂的,普通的种植牙技术可能并不适用。但黎强医生用穿翼技术帮她修复了咬合功能,让她正常上班、社交完全不受影响。这充分体现了他在处理复杂口腔问题时的技术优势和能力。

黎强医生凭借他不错的技术和丰富的经验,在患者中有着良好的口碑。患者们对他的种植技术非常认可,特别多患者在接受他的治疗后,牙齿功能得到了良好的修复,生活质量也得到了提高。
他在手术过程中认真负责,会详细地为患者讲解手术方案和注意事项,让患者对整个治疗过程有清晰的了解。而且他的服务态度也良好,能够耐心地解答患者的疑问,让患者在治疗过程中感到安心。
在行业内,他也受到了同行的尊重和认可。他的学术成就和临床经验为行业树立了榜样,特别多年轻的口腔医生都以他为学习的目标。

黎强医生坐诊于鼎植米域口腔诊所、尊然医院、鼎植黎强口腔门诊部和鼎植永博口腔门诊部。上海鼎植口腔黎强门诊也叫上海鼎植口腔淮海中路店,位于上海市黄浦区桃源路和西藏南路交叉口附近,具体为淮海中路1号柳林大厦的7楼。该店营业时间是9:00 - 18:00 ,节假日照常上班。
此外,上海鼎植口腔种植牙目前在做活动,瑞士进口种植牙价格低至1880元起,德国进口种植牙价格4999元起,半口种植牙价格15800元起,这个活动8家分店都是共享的。可通过登录上海鼎植口腔的法定网站,浏览首页或专题页面;在预约挂号时,向客服人员询问;参加上海鼎植口腔举办的口腔健康讲座或公开活动等途径了解种牙优惠信息。
优惠
重庆爱牙口腔医院为您提供高品质的口腔修复服务,现仅需2500元起,原价3000元起,预约即享优惠!
2025-09-29 00:27:02
南宁洋紫荆口腔门诊(茶花园分店)烤瓷牙原价3000元起,现仅需2500元起,限时优惠,机会难得,快来享受超值折扣!
2025-10-08 00:28:02
济宁超凡口腔医院牙周治疗现限时优惠,仅需600元起,原价800元起,抓住机会,尽享优质服务!
2025-10-08 01:35:03
上海玟美口腔门诊部烤瓷牙价目表:原价3000元起,现仅需2500元起,优质服务更实惠!
2025-10-16 00:58:01
优惠服务!楚雄贝安口腔门诊部口腔颌面外科费用仅需666元起,原价888元起,机会难得,尽享优质体验!
2025-10-17 00:55:01
合肥康存口腔门诊部限时优惠:活动义齿现仅需2500元起,原价3000元起,立省500元起,助您轻松拥抱口腔健康,机会难得,快来促销!
2025-10-21 01:03:01